• Пресс-центр
  • Для специалистов
  • Версия для слабовидящих
  • Платные услуги
Справочная служба: +7 (812) 384-46-70
Справочная служба: +7 (812) 705-29-70
Платные услуги: +7 (812) 384-46-30

Справочная служба

+7 (812) 384-46-70

Справочная служба

+7 (812) 705-29-70

Горячая линия

+7 (911) 735-92-27 (MAX)
  • Об институте
    • История
    • Руководство
    • Структура и органы управления
    • Медицинские работники
    • Основные сведения
    • Ассоциации и центры
    • Документы
    • Противодействие коррупции
    • Профсоюзная организация
    • Охрана труда
    • Вакансии и конкурсы
    • Целевая подготовка специалистов
    • Попечительский совет
  • Пациентам и посетителям
    • Отделения
    • Виды медицинской помощи
    • Карта сайта
    • Телефонный справочник
    • Режим работы
    • Независимая оценка качества оказания услуг медицинскими организациями
    • Виды медицинской помощи
    • Высокотехнологичная медицинская помощь
    • Информация по пропускному режиму
    • Новые медицинские технологии
    • Услуги ОМС
    • Услуги ДМС
    • Лечение граждан всех регионов РФ по ОМС
    • Платные услуги
    • Амбулаторно-консультативное отделение
    • Информация по получению результатов прижизненного патолого-анатомического исследования
    • Ритуальные услуги
    • Информация о правах и обязанностях граждан
    • Взаимодействие с социально ориентированными некоммерческими организациями (СОНКО) и волонтерскими организациями
    • Перечень жизненно необходимых и важнейших лекарственных препаратов для медицинского применения на 2020 год
    • Отклики пациентов
  • Наука
    • Основные направления научных исследований
    • Научные отделы
    • Договоры о сотрудничестве
    • Советы и комиссии
      • Ученый совет
      • Локальный этический комитет
      • Проблемные комиссии
      • Редакционно-издательский совет
    • Конференции
    • Диссертации
    • Редакционно-издательская деятельность
    • Международная деятельность
    • Конкурсы, гранты, соискания премий
    • Проекты, приказы, распоряжения
    • Патенты
    • Клинические исследования
  • Телемедицина
    • Отделение телемедицины
    • Анонсы мероприятий
  • Образование
    • Образовательная деятельность
    • Основные сведения
    • Аккредитация специалиста
    • Приемная комиссия
    • Ординатура
    • Стажировки
    • Международные соглашения по образованию
    • Обучение для инвалидов и лиц с ограниченными возможностями
    • Медицинские библиотеки и сводные каталоги
    • Научная медицинская библиотека
    • Электронная информационно-образовательная среда
    • Программа повышения квалификации
    • Дополнительное профессиональное образование
  • Контакты
    • Контакты ИОГВ
  • Доступная среда

Запись на прием

Запись на платный прием к специалисту

    Это сайт защищен с помощью SmartCaptcha от Yandex
    Политика конфиденциальности Yandex
    Условия использования сервиса

    Новости института

    • Главная
    • Новости института
    • Page 2
    Дети и студенты медицинского техникума выступили в НИИ с концертами в честь Дня Победы
    11.05.2026

    Дети и студенты медицинского техникума выступили в НИИ с концертами в честь Дня Победы

    Юные артисты ансамбля «Ассорти» Санкт-Петербургской детской школы искусств имени Ю.Х. Темирканова выступили в центральном холле института скорой помощи им. И.И. Джанелидзе для пациентов, их родственников и коллектива НИИ. В программе прозвучали известные песни военных лет, а также вокальные и инструментальные произведения, передающие атмосферу тех героических лет. Дети вложили душу в исполнение каждой песни, стараясь донести...
    Торжественно-траурная церемония прошла на Волковском кладбище
    09.05.2026

    Торжественно-траурная церемония прошла на Волковском кладбище

    Директор НИИ скорой помощи им. И.И. Джанелидзе Вадим Мануковский, заместитель директора по науке Андрей Демко, главный врач института Дмитрий Кандыба и сотрудники НИИ возложили цветы к памятнику выдающемуся хирургу и ученому Иустину Джанелидзе в память о подвиге врачей, медицинских сестер, санитарок, всего персонала Ленинградского научно-практического института в годы войны и блокады, когда институт фактически стал...
    Дорогие ветераны и герои наших дней, все граждане России, с Днем Победы!
    09.05.2026

    Дорогие ветераны и герои наших дней, все граждане России, с Днем Победы!

    День Победы – это день, когда мы чтим подвиг наших героев – солдат и полководцев, врачей и мирных жителей, детей войны, мы преклоняемся перед великим поколением победителей, которые сражались за жизнь против самой смерти. Эта война навеки вписана в историю Отечества как пример несгибаемой воли нашего народа в борьбе за независимость своей Родины. Это наша…
    Сердце помнит. В НИИ скорой помощи им. И.И. Джанелидзе отметили годовщину Победы
    07.05.2026

    Сердце помнит. В НИИ скорой помощи им. И.И. Джанелидзе отметили годовщину Победы

    В преддверии 81-й годовщины Победы в Великой Отечественной войне в НИИ скорой помощи имени И.И. Джанелидзе прошла памятная акция. Утром в стенах института для ветеранов состоялся концерт, на котором выступили юные артисты из Санкт-Петербургской детской школы искусств имени Ю.Х. Темирканова (ансамбль «Ассорти») и дети сотрудников института, которые читали стихи о войне. В полдень под звуки...
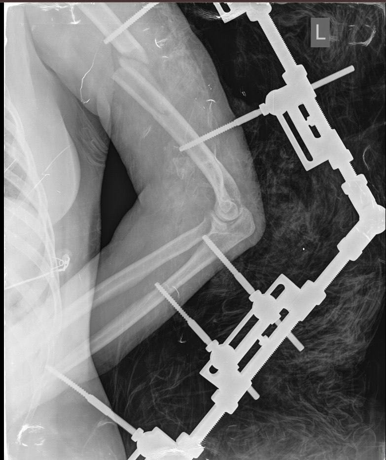
    Клинический случай: лечение тяжелой травмы после ДТП в травмоцентре НИИ
    06.05.2026

    Клинический случай: лечение тяжелой травмы после ДТП в травмоцентре НИИ

    На базе НИИ сокрой помощи им. И.И. Джанелидзе работает старейший в городе и стране травмоцентр первого уровня, оказывающий специализированную и высокотехнологичную помощь пострадавшим с тяжёлыми травмами, в том числе при дорожно-транспортных происшествиях (ДТП), сочетанными, множественными и изолированными травмами, сопровождающимися шоком, их осложнениями и последствиями. 12 апреля в травмоцентр поступила молодая пациентка 30 лет, пострадавшая в...
    Сергей Платонов стал лучшим врачом хирургического профиля учреждения стационарной помощи взрослому населению
    01.05.2026

    Сергей Платонов стал лучшим врачом хирургического профиля учреждения стационарной помощи взрослому населению

    Подведены итоги конкурса Правительства Санкт-Петербурга «Лучший врач года» и «Лучший медицинский работник года со средним профессиональным образованием». Финал выдался напряжённым. На заключительном заседании Оргкомитета за звание лучшего боролись действительно сильнейшие — врачи и медсёстры из разных учреждений города. Конкуренция была серьёзной. Как прошёл финальный отбор? Жюри рассмотрело 60 заявок. Каждую оценивали по живому, а не…
    В институте скорой помощи спасли пациента с массивным венозным тромбозом
    30.04.2026

    В институте скорой помощи спасли пациента с массивным венозным тромбозом

    В НИИ им. И.И. Джанелидзе бригадой скорой помощи был доставлен мужчина 45 лет с жалобами на отек и нестерпимую боль в левой ноге. КТ-ангиография показала, что у пациента закрыта нижняя полая вена — самый крупный венозный ствол в организме человека, собирающий кровь от стенок брюшной полости, парных органов брюшной полости и нижней части тела. Вены…
    Второе сердце из собственной ткани: в НИИ скорой помощи им. И.И. Джанелидзе освоили методику Озак
    29.04.2026

    Второе сердце из собственной ткани: в НИИ скорой помощи им. И.И. Джанелидзе освоили методику Озак

    Впервые в НИИ скорой помощи им. И.И. Джанелидзе  выполнена уникальная операция по методике профессора Шигеюки Озаки (AVNeo). Врачи не просто заменили изношенный клапан — был сконструирован новый клапан из перикарда самого пациента. Аортальный клапан — уникальный механизм, который работает как идеальный страж: пропускает кровь строго в одном направлении и немедленно закрывается, не давая ей вернуться…
    «Она травила себя годами, чтобы стать больной»: заведующий токсикологией НИИ скорой помощи им. И.И. Джанелидзе Вадим Лукин о медицинском случае пациентки с синдромом Мюнхаузена
    26.04.2026

    «Она травила себя годами, чтобы стать больной»: заведующий токсикологией НИИ скорой помощи им. И.И. Джанелидзе Вадим Лукин о медицинском случае пациентки с синдромом Мюнхаузена

    Синдром Мюнхгаузена – хроническое психическое заболевание, при котором человек без внешней мотивации, преднамеренно и сознательно вызывает у себя симптомы болезни, самостоятельно травмируя себя различными инструментами, чтобы в дальнейшем подвергнуться медицинскому обследованию, лечению и госпитализации. Главной целью самотравматизации пациента при синдроме Мюнхгаузена является не получение личной выгоды, а возможность обратить на себя внимания со стороны врачей…
    Современная радиология: высокие технологии и интеллект
    20.04.2026

    Современная радиология: высокие технологии и интеллект

    В Санкт-Петербурге завершил работу XVII Международный Невский радиологический форум – 2026. Конгресс традиционно является масштабной площадкой для обмена опытом и последними научными достижениями, профессиональных дискуссий ведущих специалистов в области медицинской визуализации и радиотерапии из России и стран ближнего зарубежья, которые ежегодно встречаются в Санкт-Петербурге для обсуждения и внедрения в практику инновационных методов диагностики. Дальнейшему развитию...
    Страница 2 из 68«12345...102030...»Последняя »

    Об организации

    • История
    • Структура и органы управления
    • Вакансии и конкурсы
    • Документы
    • Сведения об образовательной организации
    • Противодействие коррупции
    • Карта сайта
    • Контакты

    Клиника

    • Структура и органы управления
    • Амбулаторно-консультативное отделение
    • Виды медицинской помощи
    • Информация для пациентов
    • Информация для специалистов
    • Вакансии и конкурсы
    • Лекарственное обеспечение
    • Вышестоящие и контролирующие органы
    • Отзывы пациентов
    • Порядок и стандарты оказания медицинской помощи
    • Сведения о руководителе, руководителях структурных подразделений
    • Медицинские работники
    • Документы
    • Контактная информация

    Образование

    • Документы
    • Ординатура
    • Режим занятий обучающихся
    • Контакты
    • Целевая подготовка специалистов
    • Основные сведения
    • Абитуриенту
    • Послевузовское

    Наука

    • Контакты
    • Научные отделы
    • Советы и комиссии
    • Конференции

    Контакты

    192242, Санкт-Петербург, Будапештская ул., д. 3, лит. А

    • +7 (812) 705-29-70
    • +7 (812) 384-46-70
    • info@emergency.spb.ru
    Все контакты
    © 1998-2026 СПб НИИ Скорой помощи им. И.И. Джанелидзе
    Этот сайт использует файлы cookie для улучшения работы сайта. Продолжая использовать сайт, вы соглашаетесь с их использованием.